
Tahukah anda, ada jenis kehamilan yang jarang dibincangkan tetapi boleh memberi kesan besar kepada kesihatan wanita? Ia dikenali sebagai “kehamilan anggur” atau molar pregnancy. Dr. Zubaidi berkongsi info ini untuk memberi kesedaran kerana ramai yang masih tidak tahu tentang risiko ini.
Apa Itu Kehamilan Anggur?

Kehamilan anggur berlaku apabila proses persenyawaan antara telur dan sperma tidak normal. Selalunya janin dan uri terbentuk dengan normal, tetapi dalam kes ini, tisu di rahim membentuk kantung kecil seperti cyst yang dipanggil hydatidiform mole. Janin tidak berkembang dan rahim dipenuhi tisu abnormal.
Faktor Risiko Yang Ditekankan Dr. Zubaidi

Dr. Zubaidi menekankan beberapa faktor yang meningkatkan risiko wanita mengalami kehamilan anggur:
Umur wanita : Risiko meningkat apabila wanita berumur 35 tahun ke atas.
Sejarah kehamilan anggur sebelum ini : Jika pernah berlaku dua kali atau lebih, risiko berulang tinggi.
Keguguran misteri sebelum ini : Wanita yang pernah keguguran tanpa sebab yang jelas berisiko lebih tinggi.
Kenapa Sukar Dikesan Pada Peringkat Awal?

Kehamilan anggur biasanya menunjukkan tanda yang sama seperti kehamilan normal: tidak datang haid, ujian kehamilan positif, loya, muntah, dan perubahan hormon lain. Oleh itu, ultrasound awal sangat penting untuk mengesan sebarang ketidaknormalan.
Rawatan Dan Langkah Pencegahan
Rawatan biasanya melalui prosedur D&C atau vacuum aspiration untuk membuang tisu abnormal. Selepas rawatan, wanita tidak digalakkan hamil dalam tempoh 6 hingga 12 bulan bagi memastikan pemulihan rahim dan memantau sebarang risiko baki tisu yang boleh menjadi kanser. Pemeriksaan darah secara berkala amat penting.
Pesanan Penting Dr. Zubaidi
Jangan pandang remeh sebarang kehamilan yang tidak normal. Pemeriksaan awal dan berkala amat penting, terutamanya bagi wanita yang mempunyai sejarah risiko.
Kesedaran tentang kehamilan anggur boleh menyelamatkan nyawa dan mengelakkan komplikasi serius.
Memahami Kehamilan Anggur Lebih Lanjut: Fakta & Kesedaran untuk Ibu dan Pasangan
Bagi ibu yang tidak pernah mengalami kehamilan anggur, pasti akan berasa hairan tentang penyakit ini. Kehamilan jenis ini juga boleh kedengaran agak luar biasa bagi suami. Malah, masih ada pandangan serong dan salah faham dalam masyarakat yang menyatakan bahawa ibu yang mengalami kehamilan anggur mungkin terkena ‘buatan orang’ atau membawa keturunan berpenyakit. Justeru, penting untuk kita memahami penyakit ini dengan tepat.
Apakah kehamilan anggur?

Kehamilan anggur merupakan satu jenis kehamilan yang tidak berkembang menjadi janin sempurna. Akibat masalah semasa persenyawaan, tisu embrio dan plasenta tidak berkembang dengan normal, sebaliknya menjadi gugusan tisu berbentuk gelembung atau sista yang menyerupai buah anggur.
Dalam perubatan, ia dikenali sebagai Hydatidiform mole dan diklasifikasikan kepada dua jenis: lengkap (complete mole) dan separa (partial mole).
Kehamilan anggur lengkap: berlaku apabila ovum kosong disenyawakan oleh satu atau dua sperma. Tisu persenyawaan ini mengandungi 46 kromosom, tetapi semuanya daripada bapa sahaja. Tiada janin terbentuk, hanya gugusan tisu seperti anggur.
Kehamilan anggur separa: berlaku apabila ovum normal disenyawakan oleh sperma, menghasilkan tisu persenyawaan dengan 69 kromosom (23 dari ibu, 46 dari bapa). Tisu janin boleh terbentuk, tetapi kematian janin biasanya berlaku pada peringkat awal. Tisu plasenta mengandungi komponen normal dan abnormal (gugusan anggur).
Tanda dan simptom awal
-Ibu yang mengalami kehamilan anggur mungkin mengalami:
-Loya dan muntah teruk
-Saiz rahim lebih besar daripada usia kandungan
-Tekanan darah tinggi dan bengkak pada kaki
-Paras hormon hCG lebih tinggi daripada normal, terutamanya pada kehamilan anggur lengkap
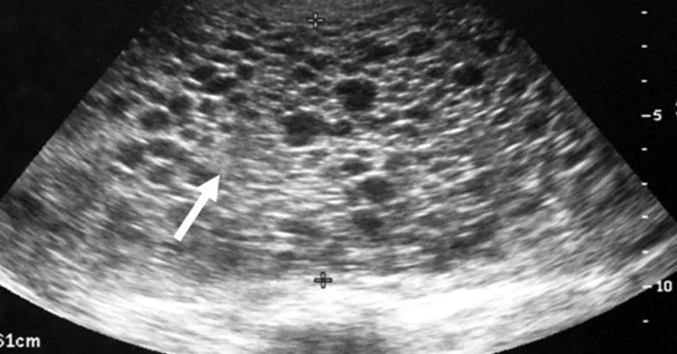
-Kehamilan anggur boleh dikesan melalui ultrasound, di mana gugusan tisu berbentuk anggur dapat dilihat dan janin tidak dapat dikesan.
Proses rawatan dan pengesahan
Kebanyakan kehamilan anggur akan menyebabkan keguguran atau kematian janin. Ibu akan mengalami pendarahan dan tisu plasenta akan dihantar ke makmal untuk pengesahan penyakit.
Di bawah mikroskop, gugusan tisu ini terdiri daripada struktur tisu plasenta (villi) yang membengkak dan kumpulan sel plasenta (trophoblasts) yang bercambah. Seluruh tisu plasenta harus dikeluarkan, dan ibu perlu menjalani pemeriksaan berkala sehingga penyakit ini benar-benar tiada.
Komplikasi dan kehamilan seterusnya
Terdapat risiko kecil di mana kehamilan anggur boleh merebak ke dinding rahim (invasive mole) atau menjadi kanser (choriocarcinoma). Namun, pemantauan rapi dapat mengesan dan mencegah komplikasi ini.
Secara umum, kehamilan anggur tidak menjejaskan kehamilan seterusnya. Ibu biasanya masih boleh hamil seperti biasa dan memperoleh anak yang normal.
Kesimpulan Untuk Pasangan Baru
Kehamilan anggur bukan sesuatu yang boleh dijangka, tetapi dengan pemantauan awal dan langkah pencegahan, risiko komplikasi boleh dikurangkan. Sebagai pasangan baru, kesedaran tentang perkara ini sangat penting jangan tunggu sehingga terlambat.
Sumber: FB Dr Zubaidi Hj Ahmad & mmgazette.com
Lubuk konten untuk papa dan mama paling lengkap di seeNI. Pa&Ma kini di seeNI.
Download
sekarang!

















