
Hamil Tapi Bukan Bayi, Realiti Yang Tidak Semua Ibu Bersedia Hadapi
Hamil tapi bukan bayi, kehamilan yang disangka membawa harapan rupa-rupanya menjadi ujian emosi yang berat buat segelintir wanita. Keadaan ini berlaku apabila kandungan yang dinanti-nantikan bukan mengandungi janin, sebaliknya hanya tisu abnormal di dalam rahim. Inilah realiti pahit yang dikenali dalam dunia perubatan sebagai kehamilan anggur, satu komplikasi kehamilan yang jarang berlaku tetapi memberi kesan besar kepada kesihatan fizikal dan emosi ibu.

Bayangkan seorang wanita yang teruja melihat dua garis pada alat ujian kehamilan. Harapan mula disusun, nama anak mula terlintas, bulan kehamilan mula dikira. Ada yang menunggu lama, ada yang baru pertama kali merasai nikmat bergelar ibu. Namun semuanya berubah apabila imbasan ultrasound dilakukan dan doktor berkata perlahan,
“Ini bukan kandungan bayi.”
Apa yang ada di dalam rahim bukan janin, bukan degupan jantung, tetapi gugusan tisu yang menyerupai buah anggur.
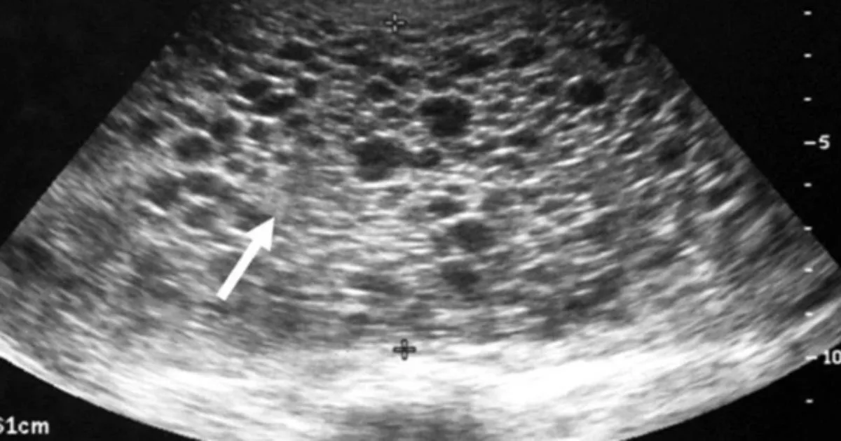
Apa Itu Kehamilan Anggur?
Keadaan ini berlaku apabila proses persenyawaan antara sperma dan ovum tidak normal. Akibatnya, tisu uri berkembang secara tidak terkawal dan membentuk kantung kecil berisi cecair yang dikenali sebagai hydatidiform mole. Janin sama ada tidak terbentuk langsung atau terbentuk tetapi tidak mampu hidup.

Dalam dunia perubatan, keadaan ini terbahagi kepada dua jenis utama:
1. Kehamilan Anggur Lengkap (Complete Mole)
Tiada pembentukan janin berlaku langsung. Rahim dipenuhi sepenuhnya oleh tisu abnormal walaupun hormon kehamilan masih tinggi dan ujian kehamilan kekal positif.
2. Kehamilan Anggur Separa (Partial Mole)
Janin mungkin terbentuk, tetapi tidak sempurna dan biasanya tidak mampu hidup lalu gugur pada peringkat awal kehamilan.
Kenapa Keadaan Ini Sukar Dikesan Pada Peringkat Awal?
Salah satu sebab utama keadaan ini sering terlepas pandang ialah simptomnya hampir sama seperti kehamilan biasa. Ibu tetap mengalami:
- Haid terhenti
- Ujian kehamilan positif
- Loya dan muntah
- Perubahan hormon
Disebabkan persamaan simptom ini, ramai ibu hanya mengetahui keadaan sebenar selepas menjalani pemeriksaan ultrasound. Pemeriksaan awal sangat penting, terutamanya jika ibu mengalami loya melampau, pendarahan luar biasa atau saiz rahim yang lebih besar daripada usia kandungan.
Faktor Risiko Yang Perlu Diketahui
Menurut pakar, beberapa faktor boleh meningkatkan risiko berlakunya keadaan ini, antaranya:
- Wanita yang hamil pada usia terlalu muda atau 35 tahun ke atas
- Ibu yang pernah mengalami komplikasi sama sebelum ini
- Sejarah keguguran tanpa sebab yang jelas
- Kekurangan nutrien tertentu
Namun begitu, hakikatnya ia juga boleh berlaku kepada wanita yang sihat dan tidak mempunyai sebarang faktor risiko yang jelas.

Bukan Sekadar Kehilangan Kandungan, Tetapi Trauma Emosi
Apa yang ramai tidak sedar, pengalaman ini bukan sekadar kehilangan kandungan. Secara fizikal, tubuh ibu masih “rasa hamil”. Hormon kehamilan masih tinggi. Tetapi secara emosi, ibu sedang kehilangan anak yang tidak pernah sempat hidup.
Ramai ibu mula menyalahkan diri sendiri:
- “Badan aku rosak ke?”
- “Aku tak jaga diri betul-betul ke?”
Sedangkan hakikatnya, situasi ini bukan salah ibu dan bukan disebabkan oleh perbuatan sesiapa.
Rawatan & Tempoh Pemantauan
Rawatan biasanya melibatkan prosedur pembuangan tisu abnormal seperti D&C atau vacuum aspiration. Selepas itu, ibu perlu menjalani pemantauan rapi selama enam hingga dua belas bulan bagi memastikan paras hormon hCG kembali normal dan tiada baki tisu abnormal yang masih aktif.
Dalam tempoh ini, ibu biasanya dinasihatkan untuk menangguhkan kehamilan dan menjalani pemeriksaan darah secara berkala demi keselamatan jangka panjang.

Kesihatan Mental Juga Sebahagian Daripada Proses Rawatan
Fasa selepas rawatan sering menjadi tempoh paling sunyi buat ibu. Ramai di sekeliling menganggap semuanya sudah selesai, sedangkan luka emosi masih segar. Wanita yang melalui pengalaman ini bukan sahaja kehilangan kandungan, tetapi juga kehilangan harapan yang sudah terbina.
Jika anda mengenali seseorang yang melalui situasi ini:
- Jangan paksa dia cepat “move on”
- Jangan kecilkan perasaannya
- Mendengar dan memahami sudah sangat membantu
Kesihatan mental adalah sebahagian daripada proses pemulihan.
Bolehkah Ibu Hamil Semula?
Berita baiknya, kebanyakan wanita boleh hamil semula dan melahirkan bayi yang sihat selepas tempoh pemantauan selesai. Pengalaman ini tidak bermakna peluang untuk menjadi ibu telah terhenti.
Kesimpulannya
Kehamilan anggur adalah ujian yang berat, tetapi dengan pemeriksaan awal, rawatan tepat dan sokongan emosi yang baik, ibu mampu melalui pengalaman ini dengan selamat. Yang paling penting, ibu tidak bersendirian dan ini bukan kesalahan ibu.
Hamil tapi bukan bayi, kesedihan itu nyata, dan ia wajar difahami.
BACA LAGI : “Tak Semua Orang Tahu!” Disahkan “Kehamilan Anggur”, Ibu Ini Pohon Doa Ramai
Sumber: FB Dr Zubaidi Hj Ahmad &Public Health Malaysia
Lubuk konten untuk papa dan mama paling lengkap di seeNI. Pa&Ma kini di seeNI.
Download
sekarang!





